
PRÓTESES
|
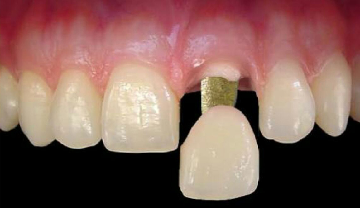
METALO CERÂMICA Prótese contendo uma infraestrutura metálica, recoberta por porcelana. Pode ser apoiada em implante ou dente natural. As próteses metalo-cerâmica são a escolha mais frequente, quando o cirurgião dentista procura aliar alta confiabilidade a um resultado estético satisfatório. |
![]() |
|
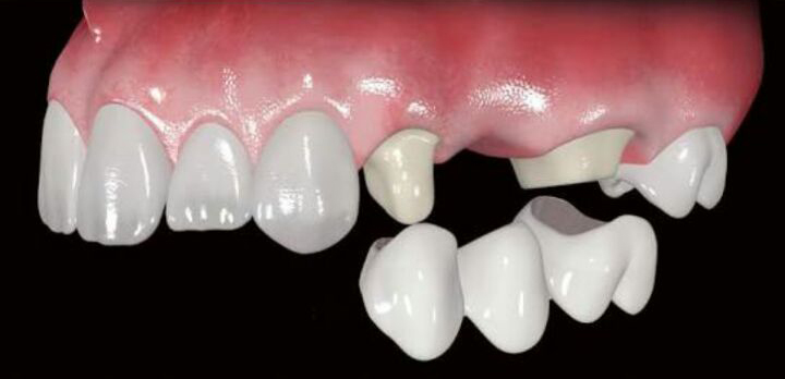
METAL FREE Prótese sem metal, a parte interna e externa são de porcelana. Pode ser unitária ou com vários elementos unidos, e pode ser apoiada em implante ou dente natural, é o material que mais se assemelha ao dente em todos os aspectos, reproduzindo translucidez, textura e brilho semelhantes aos da estrutura dental. |
![]() |
|
CONVENCIONAL Esta prótese removível, que fica apoiada nos dentes restantes através de grampos de retenção, é utilizada quando o paciente perdeu apenas alguns dentes. |
![]() |
|
COM ATTACHMENT Prótese removível como a convencional, porém não apresenta grampos ou metais aparentes. Esta prótese fica presa através de um sistema diferente de mecanismos retentores. Utilizada quando o paciente perdeu alguns dentes. |
![]() |
|
OVER DENTURE Prótese total (dentadura), apoiada sobre implantes, o que devolve uma segurança muito maior para o paciente. Utilizada quando o paciente perdeu todos os dentes. |
![]() |
|
TOTAL CONVENCIONAL Quando o paciente perdeu todos os dentes e necessita recolocá-los sem o auxílio de implantes ou outro método de suporte. |
![]() |








